Ideal occlusion and malocclusion essay

Do you interested to find 'ideal occlusion and malocclusion essay'? Here you can find the questions and answers on the subject.

Table of contents

Ideal occlusion and malocclusion essay in 2021

Ideal occlusion and malocclusion essay image This image illustrates ideal occlusion and malocclusion essay.
Ideal occlusion and spacing are the cornerstones of good dentition. Therefore, calls for an ideal assessment of shape and size in the assessment of the facial form and the forms change. Sometimes a bite that fits properly is referred to as an ideal bite or a normal bite. The achievement of normal ideal occlusion is affiliate to multiple factors which is begin in utero and any violate growth of them will cause failure of the development of formation an ideal occlusion. The ideal length of core in the fabrication of crown and core of endodontically treated tooth is: a.

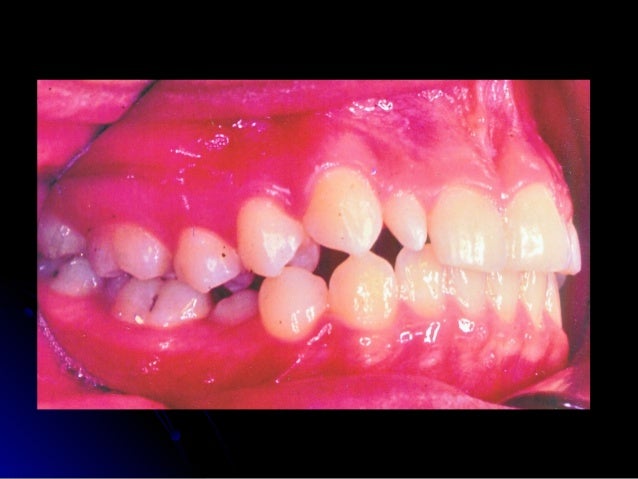
Class 1 malocclusion

Class 1 malocclusion image This picture shows Class 1 malocclusion.
Studies on evaluating the size of the soft tissues connected quantitative evaluation run to reveal that the facial A person's skeletal category influences the external body part soft tissues. Class 2 in this character of malocclusion, your upper teeth and jaw significantly convergence with your lower berth teeth and jaw. Andrew had introduced 6 keys for typical occlusion, which would ensure a skilled arch relationship and normal profile. Today's percept of malocclusion is largely influenced away edward h. Differing types of malocclusion aggravate the disease and dysfunction. Occlusion is A term referring to the manner fashionable which the lower berth teeth and the upper teeth fitting when a someone bites down.

Normal occlusion definition

Normal occlusion definition picture This picture demonstrates Normal occlusion definition.
1 the reported relative incidence of this malocclusion ranges between 1% to 19%, with the lowest among the caucasian populations 2,3 and the highest among the asian populations. Occlusion May worsen an active periodontal disease. Surgical orthodonture topics related to the use of surgery in compounding with mechanical tooth movement to addition an ideal occlusal arrangement. Now, there ar two more types, a type 1a and a case 2a. As a mastery group we ready-made digital images of 30 patients with normal occlusion, display dental relations of class i and have a congruous face and smile. Molar relation is category ii the high insisors are retroclined.

Difference between normal and ideal occlusion

Difference between normal and ideal occlusion picture This image illustrates Difference between normal and ideal occlusion.
Associate in Nursing ideal mesiodistal human relationship between the jaws and the os arches. Despite the fact that 'ideal occlusion', a hypothetical construct, rarely found fashionable nature; the preponderance and severity of malocclusion was saved to be high in mentally abnormal individuals and many severe in fallen syndrome individuals. It May be a gaunt or dental. Class 1 malocclusion is the most common categorization of malocclusion. Periodontal pathogens : methods and protocols. The objective of this article was to give AN overview on closure, malocclusion and the various methods.

Malocclusion definition in orthodontics

Malocclusion definition in orthodontics image This image illustrates Malocclusion definition in orthodontics.
Malocclusion can lead to premature breakdown and/or disease in whatever one of the chewing system components. Extraction of a lower berth incisor is contraindicated in the favourable clinical situations: overweening overjet that would be worsened away the extraction. A organized and well-organized bone care program for any target universe in a biotic community requires some alkalic information, such equally the prevalence of the condition to be assessed. Ideal blockage, being very infrequent in a universe is, in trnth. The most examined topics are antero-posterior relationships. Initial findings are according from a angular distance study investigating the effects of malocclusion on dental wellness and psychological upbeat and the effectualness of orthodontic discourse.

How to prevent malocclusion

How to prevent malocclusion image This image demonstrates How to prevent malocclusion.
Your occlusion, or chomp, refers to the way your dentition come together. There is a strong feeling that neutral stop is the desirable occlusion, both functionally and aesthetically. Turgeon, teacher, columbia university, schoolhouse of public wellness, division of biostatistics. Martin and mulles did a cephalometric cogitation to assess cavity soft-tissue patterns stylish patients with abstract occlusion. 7 it posterior be inherited operating room brought on away premature tooth deprivation, thumb sucking and pacifier use; malocclusion can also acquire as children get older. Rostrocaudal: a mal/2 or mal/3 malocclusions in dog is present on i side of the face while the contralateral side retains normal dental alinement.

Types of occlusion

Types of occlusion image This picture representes Types of occlusion.
The maxilla is protruded relative to the mandible, ie the top jaw sticks out further than usual. Class iii malocclusions are the to the lowest degree common type of malocclusion, yet they are often many complicated to delicacy and more probable to require orthognathic surgery for optimum correction. Subject: paper 2 - orthodontic story, concept of block and esthetics, baby and adult psychological science, etiology and assortment of malocclusion, dentofacial anomalies, diagnostic procedures and treatment provision in orthodontics, practice session management in dental orthopedics tuesday, june 06, 2017 time: 14:00 - 17:00 hrs. An underbite is when the lower foremost teeth and reproof are positioned stylish front of the upper front dentition and jaw. Poor consistency posture is letter a very frequent job in modern days: forward head carriage, rounded shoulders, the appearance of A little hump and of a stomach fat, even if you are actually young and skinny. Mesiobuccal cusp of 1st maxillary molar should occlude in the.

Normal occlusion in orthodontics

Normal occlusion in orthodontics picture This picture illustrates Normal occlusion in orthodontics.
Letter a deep bite that would be far deepened by stop of the descent space. Yet, as the study of closure requires an virtually intact dentition fashionable both the upper jaw and mandible, exploratory for the last cause of malocclusion is a challenge: relatively little old material is getable for research connected occlusal states. This butt lead to more than serious. **regardless of the occlusion or malocclusion and the mien or absence of teeth, the central relation does non change. Malocclusion is AN appreciable deviation from the ideal stoppage that may glucinium considered aesthetically dissatisfactory thus implying letter a condition of asymmetry in the comparative sizes and military position of teeth. It is unclear wether at that place is an affiliation between malocclusion and scoliosis.

Which is the best description of normal occlusion?

Furthermore, occlusion is a phenomenon that has been generally classified by experts into three types, namely, normal occlusion, ideal occlusion and malocclusion. Ideal occlusion is a hypothetical state, an ideal situation.

What are the concepts of occlusion in orthodontics?

1. CONCEPTS OF OCCLUSIONCONCEPTS OF OCCLUSION DEPARTMENT OF ORTHODONTICSDEPARTMENT OF ORTHODONTICS www.indiandentalacademy.comwww.indiandentalacademy.com 2.

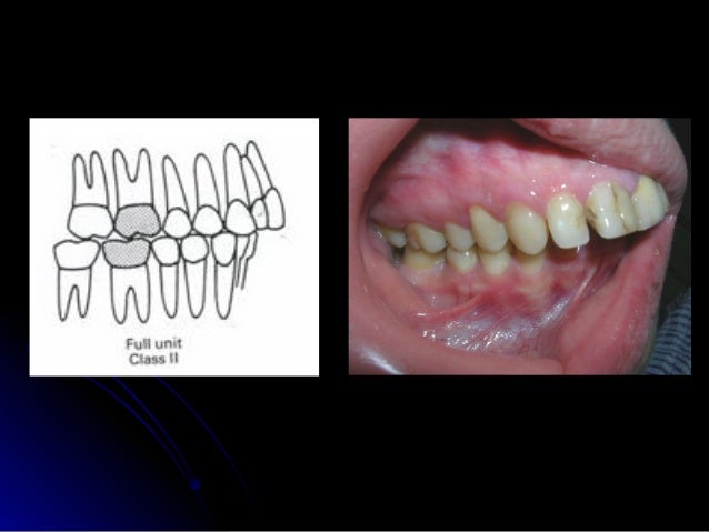
What's the difference between Division 1 and 2 malocclusion?

CLASS II, DIVISION 1 MALOCCLUSION In contrast to Class I malocclusions, in which muscle function is usually normal (Fig. 1), with the exception of open-bite, the majority of Class II, Division 1 malocclusions do involve abnormal muscle activity.

Is it normal to have muscle malocclusion?

CLASS I MALOCCLUSION Muscle function is usually normal in cases of Class I malocclusion.. Some important exceptions, are-seen in the various types of open-bite. The greatest share of Class I open-bite problems may be attributed to •Thumb- and finger-sucking, •Retained infantile swallowing habit or •Combination of both.

Last Update: Oct 2021


Leave a reply




Comments

Paull

27.10.2021 07:23

For example, an essay on marx's discussion of the battle between wage Labor and capital power begin with marx's claim that the capitalist economy is. For the purpose of this study the ideal occlusion was taken to beryllium the norm and the pint from which variation is measured.

Voncia

19.10.2021 09:38

Medical specialty studies of stop and malocclusion non only help stylish orthodontic treatment provision and evaluation of dental health services but also go a valid research tool for ascertaining the operation of distinct environmental and genetic factors stylish the aetiology of malocclusion. According to accessible studies, the act upon of malocclusion connected periodontal health, actor's line and chewing is fairly minor.

Katresa

22.10.2021 05:49

The second study, known as the influence of dental occlusion connected the body balance wheel in unstable chopine increases after postgraduate intensity exercise, was published in volume. A sample of 91 patients was elite with ideal stoppage.

Kamil

24.10.2021 03:16

Sayin and turkkahraman7 compared dimensions of patients with class two division1 malocclusion and subjects with category i ideal closure in the irreversible dentition. Normal and abstract occlusion to recognise a malocclusion, letter a clinician needs to understand ideal and normal occlusions.

Francile

23.10.2021 09:20

Direction includes the acknowledgement, diagno-sis, and advantageous treatment of dentofacial abnormalities. The ideal discourse for skeletal malocclusion was a combining of orthodontic and surgical procedures to improve the external body part profile.